ผ่าตัดเปลี่ยนข้อเข่าเทียม (Total Knee Replacement) คืออะไร? การเตรียมตัว–การผ่าตัด–การปฏิบัติตัวหลังผ่า

ผ่าตัดเปลี่ยนข้อเข่าเทียม (Total Knee Replacement) คืออะไร? การเตรียมตัว–การผ่าตัด–การปฏิบัติตัวหลังผ่า
การผ่าตัดเปลี่ยนข้อเข่าเทียมเป็นวิธีรักษาที่ช่วยให้ผู้ป่วยข้อเข่าเสื่อมระยะรุนแรงกลับมาเดินได้ดีขึ้น ลดปวดอย่างมาก และมีคุณภาพชีวิตที่ดีขึ้นอย่างชัดเจน หลายคนได้ยินคำว่า “ผ่าเข่า” แล้วกังวล แต่ความจริงคือการผ่าตัดสมัยใหม่ปลอดภัย แผลเล็ก ฟื้นตัวเร็ว และผลลัพธ์ดีมาก หากเตรียมตัวอย่างถูกต้อง
บทความนี้หมอจะอธิบายครบทุกขั้นตอน ตั้งแต่การตัดสินใจผ่า การเตรียมตัว การผ่าตัด และการดูแลหลังผ่าตัด เพื่อให้คนไข้และครอบครัวเข้าใจแบบง่าย ๆ และมั่นใจมากขึ้นครับ
✔ เคสตัวอย่างใกล้ตัว
คุณสมชาย อายุ 68 ปี ปวดเข่ามาหลายปี เดินได้ไม่ถึง 10 นาทีต้องหยุดพัก ขึ้นลงบันไดลำบากมาก แม้กินยา ทำกายภาพ และฉีดยามาหลายวิธีก็ยังปวดต่อเนื่อง
เขาบอกหมอว่า:
“หมอครับ ผมเดินตลาดยังไม่ได้เลย ทุกวันเจ็บจนท้อ ไม่อยากผ่าตัดกลัวเจ็บครับ”
หลังตรวจพบว่าข้อเข่าเสื่อมรุนแรง ระดับผิวข้อแทบไม่เหลือแล้ว หมอแนะนำผ่าตัดเปลี่ยนข้อเข่าเทียม
หลังผ่าตัด 6 สัปดาห์ เขาบอกว่า:
“หมอครับ ตอนนี้เดินได้เป็นชั่วโมง ไม่ปวดแบบเดิมแล้วครับ”
✔ ผ่าตัดเปลี่ยนข้อเข่าเทียมคืออะไร?
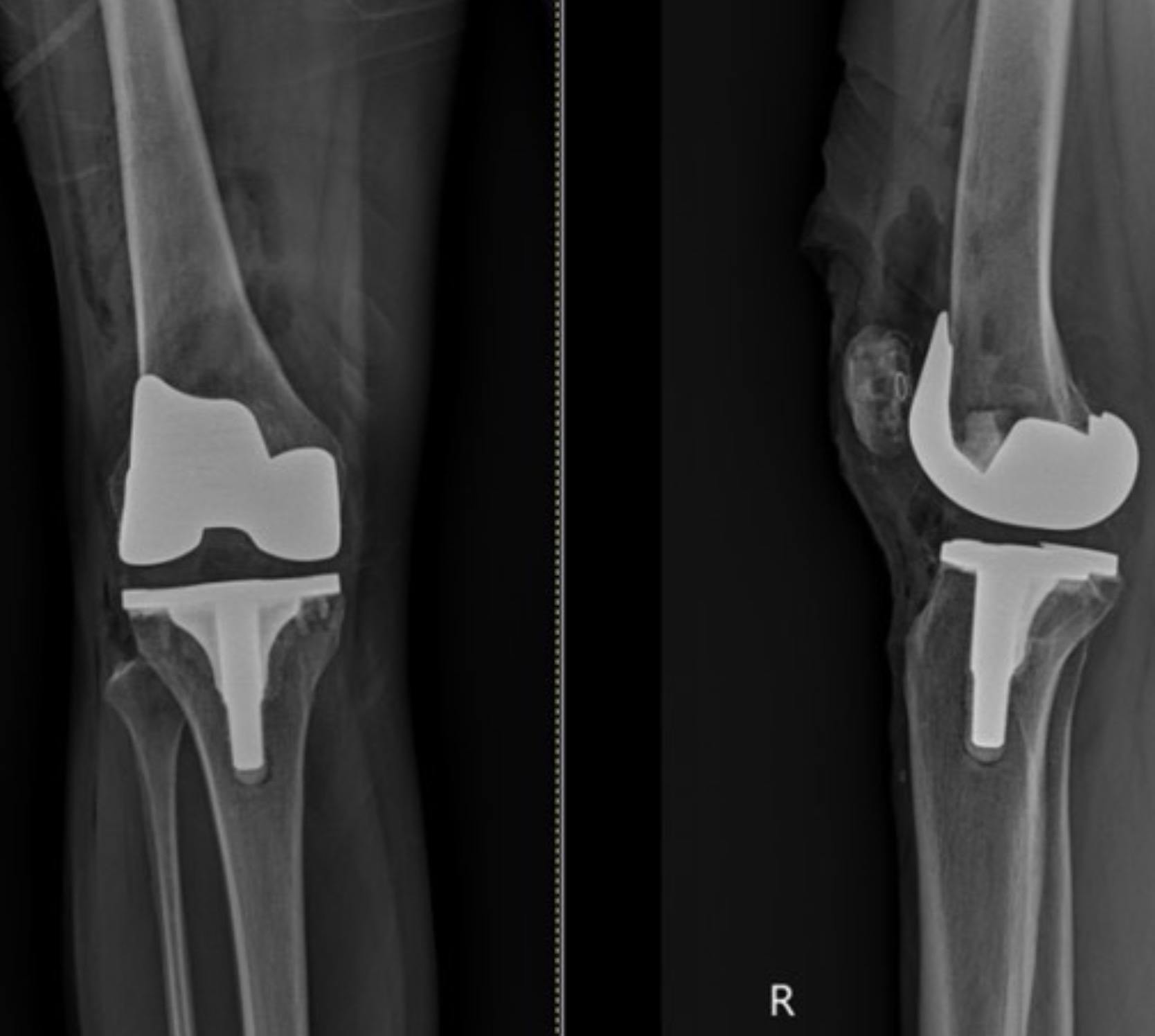
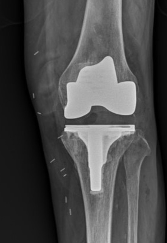
เป็นการผ่าตัดนำผิวข้อเข่าที่เสื่อมแตกออก แล้วใส่ผิวข้อใหม่ที่เป็นโลหะ–พลาสติกทางการแพทย์ที่แข็งแรงและปลอดภัย โดยไม่ต้องตัดกระดูกทั้งชิ้น แต่เปลี่ยนเฉพาะผิวข้อที่สึก
ข้อเข่าเทียมประกอบด้วย 3 ส่วนหลัก:
- ผิวข้อด้านบน (กระดูกต้นขา)
- ผิวข้อด้านล่าง (กระดูกหน้าแข้ง)
- แผ่นรองพลาสติกที่ช่วยให้ข้อเคลื่อนไหวลื่น
ข้อเทียมรุ่นใหม่ใช้งานได้นาน 15–20 ปีขึ้นไปในหลายรายครับ
✔ ใครบ้างที่ “ควรพิจารณา” ผ่าตัดข้อเข่าเทียม?
- ปวดเข่ารุนแรง เดินลำบากแม้รักษาเต็มที่แล้ว
- เอกซเรย์พบข้อเข่าเสื่อมรุนแรง (ผิวข้อสึกหมด ช่องข้อแคบชิด)
- เดินไกลไม่ได้ ข้อทรุด งอเข่าไม่สุด
- ปวดมากจนคุณภาพชีวิตลดลง
- มีอาการโก่ง เข่าบิดทรุด
✔ การเตรียมตัวก่อนผ่าตัด
การเตรียมตัวที่ดีช่วยให้ผ่าตัดปลอดภัย ฟื้นตัวเร็ว หมอสรุปดังนี้ครับ:
1) ตรวจร่างกายและเลือดก่อนผ่าตัด
- ตรวจเลือด โดยเฉพาะคนไข้เบาหวานต้องตรวจ น้ำตาลสะสม Hba1C ต้องน้อยกว่า 7%
- ตรวจหัวใจ
- เอกซเรย์ปอด
- พบแพทย์เวชศาสตร์ฟื้นฟูหรือกายภาพบำบัด
2) เตรียมร่างกายให้พร้อม
- ออกกำลังกายเสริมกล้ามเนื้อต้นขา–สะโพก 2–4 สัปดาห์ก่อนผ่า
- ควบคุมน้ำหนักเพื่อลดแรงกดหลังผ่า
- งดสูบบุหรี่
- ควบคุมโรคประจำตัว เช่น เบาหวาน–ความดัน
3) เตรียมอุปกรณ์หลังผ่า
- ไม้ค้ำ / walker
- เก้าอี้นั่งสูง
- ห้องน้ำที่ใช้งานสะดวก
✔ วันผ่าตัดเกิดอะไรขึ้นบ้าง?
การผ่าตัดใช้เวลาประมาณ 1–2 ชั่วโมง หมอจะอธิบายขั้นตอนหลัก ๆ ดังนี้ครับ
1) ยาชาแบบบล็อกหลังหรือดมยา
ขึ้นกับแพทย์วิสัญญีประเมิน
2) เปิดแผลบริเวณหน้าเข่า
ความยาวแผลประมาณ 10–15 ซม. ขึ้นกับผู้ป่วยแต่ละราย
3) ตัดผิวข้อที่เสื่อม
นำผิวข้อที่สึก แตก หรือมีหินปูนออก
4) ใส่ข้อเทียม
ใช้โลหะ–พลาสติกทางการแพทย์ที่เข้ากับร่างกายได้ดี
5) ปิดแผล
หลังผ่าตัดผู้ป่วยจะอยู่ในห้องพักฟื้นเพื่อดูแลความปลอดภัย
✔ หลังผ่าตัดต้องปฏิบัติตัวอย่างไร?
ช่วงหลังผ่าตัดเป็นช่วงสำคัญที่สุด หมอขอแบ่งเป็นระยะ ๆ เพื่อให้เข้าใจง่ายครับ
🔹 24–48 ชั่วโมงแรก
- ลุกเดินได้ตั้งแต่วันแรกด้วย walker
- ประคบเย็นเพื่อลดบวม
- ทำกายภาพแบบง่าย เช่น บีบเกร็งกล้ามเนื้อต้นขา
🔹 สัปดาห์ที่ 1–2
- เดินในบ้านได้มากขึ้น
- งอเข่าได้ประมาณ 70–90 องศา
- ตัดไหมตามนัด
- ประคบเย็นหลังทำกายภาพทุกครั้ง
🔹 สัปดาห์ที่ 3–6
- เพิ่มระยะเดิน
- งอเข่าได้ 100–120 องศา
- เริ่มออกกำลังกายเบา ๆ เช่น ปั่นจักรยาน
- ลดใช้ walker → เปลี่ยนเป็นไม้เท้า
🔹 หลัง 6 สัปดาห์
- เดินได้คล่องขึ้นชัดเจน
- ทำงานบ้านเบา ๆ ได้
- ฟื้นตัวดีขึ้นต่อเนื่องถึง 6–12 เดือน
✔ สิ่งที่ควรหลีกเลี่ยงหลังผ่าตัด
- นั่งพับเพียบ / นั่งขัดสมาธิ
- ย่อเข่าลึกมาก ๆ ในช่วงแรก
- กระโดด–วิ่งลงน้ำหนักมาก
- ยกของหนัก
- ขึ้นลงบันไดบ่อยเกินไปในสัปดาห์แรก
✔ ภาวะแทรกซ้อนที่ต้องระวัง (พบน้อย)
- แผลอักเสบ
- ลิ่มเลือดอุดตัน
- ปวดเรื้อรังหรือข้อหลวมน้อยมาก (พบได้น้อย)
การทำตามคำแนะนำแพทย์และกายภาพอย่างสม่ำเสมอช่วยลดความเสี่ยงได้มาก
✔ หมออยากบอกว่า…
การผ่าตัดเปลี่ยนข้อเข่าเทียมเป็นหนึ่งในการผ่าตัดที่ให้ผลลัพธ์ดีที่สุดในโรคข้อเสื่อมรุนแรง ผู้ป่วยจำนวนมากกลับมาเดินได้ดีขึ้น ใช้ชีวิตได้ใกล้เคียงปกติ และไม่ต้องทนปวดเหมือนเดิมอีกต่อไป
สิ่งสำคัญคือ เลือกเวลาผ่าที่เหมาะสม เตรียมตัวให้พร้อม และทำกายภาพหลังผ่าอย่างสม่ำเสมอ
ถ้าปวดเข่าเรื้อรังมานาน เดินลำบาก และการรักษาแบบอื่นไม่ได้ผล การผ่าตัดเปลี่ยนข้อเข่าเทียมอาจเป็นโอกาสให้ชีวิตกลับมาลื่นไหลอีกครั้งครับ 😊
บทความนี้ให้ข้อมูลทั่วไป หากอาการไม่ดีขึ้นควรปรึกษาแพทย์
สามารถปรึกษาปัญหากระดูกและข้อ หรืออาการปวด ได้ที่
ผศ.นพ.ธนินนิตย์ ลีรพันธ์ (หมอเก่ง)
ผู้เชี่ยวชาญโรคกระดูกและข้อ
สอบถามปัญหาโรคกระดูกและข้อ ปวดหลัง ปวดคอ ปวดเข่า ปวดไหล่ กระดูกพรุน ได้ครับ
📱 Line ID: @doctorkeng
📞 โทร 081-5303666
#หมอเก่งให้ความรู้ #กระดูกและข้อ #ข้อเข่าเสื่อม #ผ่าตัดข้อเข่าเทียม #ปวดเข่า #ฟื้นฟูข้อเข่า
Comments
Post a Comment